膝盖变形步履艰,三医妙手助还原
“以前腿是变形的,歪到一边,走路痛得不行,现在做完手术一下子就不疼了,腿也变直了呀!谢谢医生!”
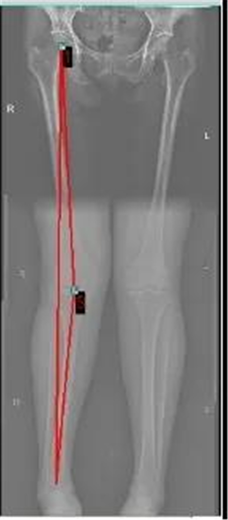
67岁的李阿姨是一位膝关节骨性关节炎患者,前不久在三水区人民医院脊柱关节外科刚做完“膝关节表面置换手术”,术后三天就能下地行走了,疼痛得到了极大的缓解。她隔壁病床73岁高龄的陈阿姨同样也一直被关节变形、腿痛的问题困扰,两人一个是“X”型腿,另一个是“O”型腿,即老百姓所说的“外八字”、“内八字”腿。

“X”型腿(外八字)和 “O”型腿(内八字)
“年轻的时候经常要做农活,人老了,身体各个零件都出了问题。”李阿姨跟医生说,“腿变形了,痛了好几年,一直就忍着呗,也不想给儿女添麻烦。实在痛得走不动了,我才叫我老伴陪我过来医院看看。”
5月7日,我院脊柱关节外科主任潘磊博士为李阿姨进行了“膝关节表面置换术”,通过医学影像可以看到李阿姨右膝关节磨损非常严重,并且出现了严重的外翻畸形(外八字),潘主任医生团队通过进行一个类似“镶牙”一样的手术,把增生老化的关节表面去除后装上合适的人工关节,一个小时左右手术顺利完成。术后医生每天查房指导李阿姨和陈阿姨进行康复练习。

潘磊主任医师查房指导
“很多老人由于年轻时经常干重活,膝关节软骨磨损严重,逐渐变形,随着年纪增大,身体机能退化的同时骨性关节炎逐年加重,腿痛难忍,苦不堪言。膝关节骨性关节炎是老年人最常见的关节疾病,常常引起膝关节走路疼痛,下蹲困难,严重可导致关节畸形(例如上文提到的X/O型腿),大大降低了人们的生活质量。”脊柱关节外科潘磊主任医师介绍道,“如果平时可以做到保护膝关节、科学生活、早期诊断及时治疗,可能会使许多患者避免手术,减少痛苦和家庭的负担。即使出现了严重的膝关节骨关节炎,通过我们的技术也能还病人一个高质量的生活。”


X型腿矫正对比


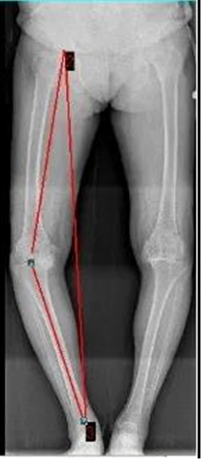
O型腿矫正对比
预防骨性关节炎小方法
01、在日常生活中,应当尽量避免膝关节过度活动。如长时间行走、跑步等,减少上下高层楼梯及长时间站立或跪蹲姿势等; 同时,膝关节是人体的承重关节,肥胖超重也会增加关节压力,因此应适当控制体重,不推荐竞走、爬山、深蹲、负重等增加关节负荷的运动。
02、在避免关节负重的情况下,可适当增加膝关节的运动量,如游泳或者在非负重情况下做膝关节屈伸活动。同时,适当的理疗可改善局部血液循环,起到缓解疼痛等症状的作用,包括热疗、水疗、推拿、针灸等。此外,饮酒、吸烟也会增加膝关节骨性关节炎发生的风险,应当尽量避免。
03、腿疼就是关节出问题了吗?怎样知道自己有没有患上膝关节骨性关节炎呢?
这里告诉大家一个自查小方法:膝关节骨性关节炎症状一般出现在40岁以后,女性发病率大于男性,55岁以上的老年人患有膝关节骨性关节炎的占到40%~70%。如果这个年龄段的人出现膝关节疼痛、压痛、关节肿胀和关节活动受限症状等情况,尤其是在上下楼梯、步行、下蹲起立时症状加重的,很可能就是患有膝关节骨性关节炎。这个时候就要及时到医院骨关节外科做相关的查体和影像学检查,做到早诊断早治疗。
佛山市三水区人民医院脊柱关节外科简介
脊柱关节外科是广东医科大学非直属附属医院重点学科,“十三五”佛山市重点专科,佛山市三水区重点专科。科室现有医护人员21人,其中医师团队有主任医师1人,副主任医师3人,住院医师4人;博士1人,在读博士1人,医学硕士4人,本科2人。广东省杰出青年医学人才1人,佛山市医学骨干人才2人,三水区医学骨干人才1人。
科室以微创技术为特色,多种术式适宜治疗各种中、重度颈椎病、颈椎管狭窄症、颈椎肿瘤或感染;胸腰椎椎间盘突出、胸腰椎管狭窄、胸腰椎滑脱;股骨头坏死、严重骨关节炎、关节畸形;关节运动损伤:肩袖损伤、习惯性脱位、膝关节韧带损伤及半月板损伤等。常规熟练开展侧/后路镜下腰椎间盘摘除术、后路颈椎间盘摘除;XLIF/OLIF微创腰椎融合术、PVP/PKP术,颈椎前后路手术,关节镜下肩、膝关节损伤修复重建术,人工全髋、膝置换术等。
科室主持省级课题3项,佛山市课题10余项,发表论文30余篇,拥有国家新型实用专利10余项,获得佛山市科学技术“叁等奖”一项。
佛山市三水区人民医院脊柱关节外科专家团队简介
潘磊主任医师简介
潘磊:医学博士、主任医师、脊柱关节外科主任,广东医科大学硕士研究生导师,广东省杰出青年医学人才(第一批)美国访问学者。
北美脊柱外科学会会员(NASS)、中国医药教育协会肩肘运动学组委员,广东省医学会脊柱外科分会委员、广东省医师协会骨关节分会委员、佛山市医学会骨科学分会副主委,佛山市中西医结合学会副主委、佛山市骨质疏松委员副主任委员。佛山市骨科质控专家、佛山市医疗事故鉴定专家。
擅长:复杂颈椎病前后路神经减压融合手术、胸腰椎侧后路减压、病灶清除等各类融合手术、复杂脊椎骨折脊髓神经损伤救治、人工髋膝关节置换、关节镜下肩袖损伤修补、膝关节交叉韧带损伤及半月板损伤修复术等。在后路椎间盘镜、侧路椎间孔镜及微创腰椎融合(XLIF)等微创脊柱外科技术方面有较深造诣;其上颈椎手术在本地区处于领先水平。
主持广东省科技厅课题1项,广东省卫健厅课题2项;发表论文30余篇,其中SCI两篇,中文核心期刊10余篇。获得国家新型实用专利3项,佛山市科学技术奖三等奖一项。
专家门诊时间:每周一、周四上午
薛厚军副主任医师简介
薛厚军:医学硕士、副主任医师,中山大学医学硕士佛山市医学骨干人才(第一批)
美国访问学者“龙氏”治脊传承人美式整脊师。
中国医药教育协会肩肘运动学组委员、广东省中西医结合学会微创外科专业委员会第一届委员会委员、SICOT中国部数字骨科学会广东省分会第一届委员会青年委员、广东省康复医学会脊柱脊髓分会脊柱疼痛与内镜专业委员会委员、广东省基层医药学会珠三角颈肩腰腿痛防治委员会(第一届常委)。
擅长:脊柱内窥镜(侧路、后路)及各种微创及微创融合治疗颈椎病及腰椎间盘突出症,常规开展颈椎前后路神经减压融合手术、腰椎管狭窄椎管扩大成形术,腰椎滑脱复位减压内固定术,在治疗复杂脊柱骨折及脊髓神经损伤患者上有较深造诣,擅长关节镜下肩袖修复及膝关节韧带重建及半月板损伤修复手术等。擅长青少年脊柱侧弯治疗个性化诊治。主持广东省卫生厅课题各1项,主持佛山市卫生局课题2项,先后在国家核心期刊发表论文20余篇,拥有国家新型实用专利1项。
在微创与传统手法相结合治疗各种颈、肩、腰、腿痛等疑难骨关节疾病上有较深造诣。
专家门诊时间:每周三下午、周五上午
王诗成副主任医师简介
王诗成:副主任医师,南方医科大学(原第一军医大学)在读医学博士,佛山市三水区医学骨干人才
2004年毕业于武汉大学医学院,从事骨科专业15年,2019年9月至2020年2月在南方医院脊柱骨科学习,擅长腰椎病、颈椎病、颈肩腰腿痛、关节炎、脊柱骨折和脊髓损伤、四肢骨折等疾病的诊治。在微创治疗腰椎间盘突出症、骨质增生性骨关节病、颈椎病、肩周炎、关节炎、骨质疏松性骨关节病、颈胸腰椎骨折、髋部骨折等方面有比较丰富的经验。
擅长:内镜下颈腰椎间盘摘除术,微创腰椎后路、侧路融合术,颈椎前后路融合术,胸腰椎骨折经皮椎体成形术,关节镜下肩关节松解修复术,膝关节检查修复术,微创髋膝关节置换术。参与广东省医学科研基金课题2项,主持佛山市医学科技攻关项目2项,在国家级核心期刊发表论文10余篇。
专家门诊时间:每周二上午
陈伟雄副主任医师简介
陈
伟雄:副主任医师,广东省医学教育协会脊柱外科专业委员会委员,佛山市医学会关节外科学分会(第一届委员),广东省基层医药学会珠三角颈肩腰腿痛防治专业委员会(第一届常委)。
2005年毕业于广州医学院临床医学系,毕业后一直从事骨科工作至今,基础理论和专业知识扎实,主持佛山市科技局及佛山市卫生局课题各一项,发表国家级论文8篇。2011年曾于广州军区广州总医院骨科医院的脊柱、关节外科进修学习一年。
擅长:对各类骨科疾病,尤其是颈椎病、腰椎间盘突出症及肩关节、膝关节髋关节疾病治疗方面有较多的经验。擅长微创手术治疗颈椎病、腰椎间盘突出症、腰椎滑脱症、腰椎管狭窄症及胸、腰椎骨折等脊椎疾病,擅长关节镜下肩袖损伤修复及膝关节韧带重建及半月板损伤修复手术,对髋、膝关节置换手术等也十分精通。
专家门诊时间:每周一下午、周三上午
