孕期超声检查之NT
一旦确认了怀孕,许多准妈妈们就开始了一趟担忧之旅:宝宝发育的情况如何?他是否健康?会不会有先天畸形?幸好技术的进步让我们有各种手段来提前知晓和预防这些意外的发生。孕期超声检查就是其中之一。在怀孕第11-14周的时候,医生会要求孕妇做一次包含NT测量的超声检查。
这时问题来了:NT的中文名称是什么,测量NT有什么意义吗?
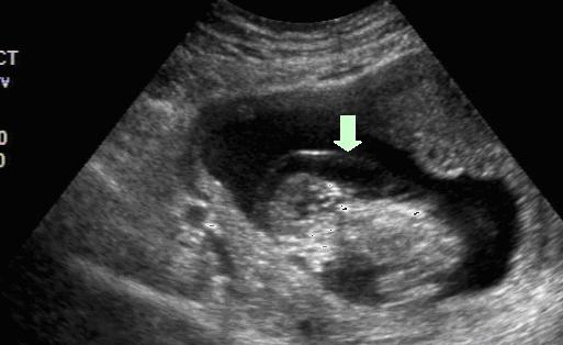
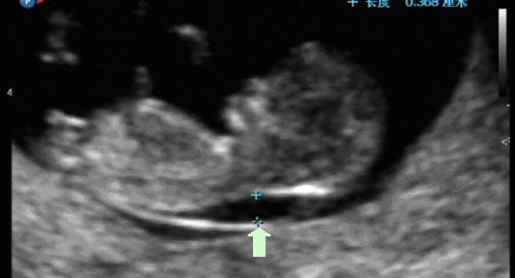
NT是胎儿颈部透明层(nuchal translucency)的英文缩写。胎儿颈后透明层(NT)是胎儿颈项部皮下的淋巴液聚集的部位,在超声影像中,是一条暗带,通过超声测量胎儿矢状切******肤至皮下软组织之间的厚度,可以用于评估胎儿是否有可能患有唐氏综合征。所有胎儿的NT值都有一定的厚度,不过,多数有唐氏综合征胎儿的NT值更厚。
图1:NT正常的胎儿(箭头所指处即为NT) 图2:NT增厚的胎儿(箭头所指处即为NT)
这里又出现新名词了,什么是唐氏综合症?
唐氏综合征又称先天愚型,是一种染色体病,表现为第21号染色体的异常,是所有染色体病中发病率最高的。孕妇的年龄和胎儿唐氏综合症的发病率有关,孕妇年龄越大,发病率越高,在40岁以上的孕妇中,胎儿发生唐氏综合症的概率可接近10%。在所有新生儿中,发病率约1/800,这只占所有唐氏综合症胎儿的40%,还有大约60%的胎儿会在孕早、中期发生流产。
图3:NT正常的胎儿(箭头所指处即为NT) 图4:NT增厚的胎儿(箭头所指处即为NT)
用超声测NT值来评估胎儿是否患有唐氏综合症靠谱吗?原理是什么?
唐氏综合征胎儿和正常胎儿是不同的,其颈部皮肤细胞外透明基质增加,细胞外液被大量吸附于透明基质的间隔内,使颈部皮肤发生改变,形成NT增厚。另外唐氏综合症胎儿常常合并先天性心脏病,心功能障碍时静脉回流受阻,淋巴液过多积聚在颈部,形成NT增厚。
图5:NT正常的胎儿(箭头所指处即为NT) 图6:NT增厚的胎儿(箭头所指处即为NT)
NT多厚算是异常?是不是NT增厚就可以确诊唐氏综合症了?
在孕11-14周期间,绝大多数正常胎儿的NT值都在3mm以下,如果这个值超过3mm,就可怀疑胎儿有异常,但是也不能仅凭NT增厚就确诊胎儿唐氏综合症,还需要进一步进行排畸检查。排畸检查可能是羊水穿刺或是无创产前基因检测,这两者的准确性高,但价格相对较贵,还不适于普遍筛查。
唐氏筛查既降低了唐氏综合症胎儿的引起家庭和社会的负担,又让准妈妈们获得安心,是值得选择的产前超声检查,记得要在孕11-14周进行,结果才靠谱哦。
