超声检查可以协助肝炎诊治
超声检查可以协助肝炎诊治
------写给世界肝炎日
7月28日是世界肝炎日,今年的主题是“了解肝炎,立刻行动”。 世界卫生组织选择这一天作为世界肝炎日,是为了纪念已故诺贝尔奖得主 巴鲁克?布隆伯格,7月28日是他的诞辰日。巴鲁克?布隆伯格因发现乙肝表面抗原和肝炎的关系,而获得了1976年诺贝尔生理学及医学奖。
我国是肝炎大国,为人所熟知的乙肝发病率世界第一,约有9000万人感染了乙肝病毒,丙型肝炎在我国的发展也非常迅速,约1500万中国人感染了丙肝病毒。乙肝及丙肝病毒可引发慢性感染,导致肝硬化和肝癌,全球范围内大约78%的肝癌病例是由乙肝和丙肝慢性感染引发的,在乙肝感染多发的我国,这个占比更高。全世界每年有70多万人被诊断得了肝癌,有一半以上在中国。
并不是所有的乙肝、丙肝病毒感染都会引起慢性肝炎,因此除了检测病原之外,还需要了解是否存在炎症的情况。乙肝和丙肝在病原学上不同,但引起的慢性肝炎病理变化是类似的,都是以肝细胞的变性、坏死为主,同时伴有不同程度的炎细胞浸润、肝细胞再生和纤维组织增生。不同程度的炎症反应和纤维增生反应,使得肝脏的形态结构发生变化,通过超声波检测,就可以检测出肝脏是否存在这样的病变,以及病变的程度究竟如何。
在超声图像上,慢性肝炎在不同程度的时期有不同程度的表现。
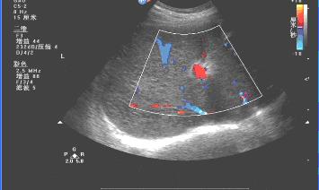
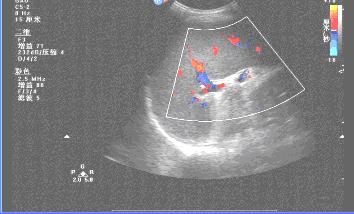
一、慢性肝炎炎症活动期时超声影像:
炎性期肝脏肿大、胆囊壁水肿。
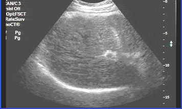
二、慢性肝炎纤维化时超声影像的表现:

肝回声增粗,肝内血管走行不规则,脾大。
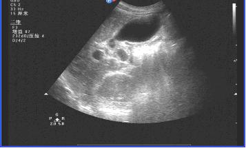
三、慢性肝炎肝硬化时的超声影像:

肝缩小,被膜不光滑,肝回声结节样增粗,门静脉扩张,腹水。
三水区人民医院超声科拥有先进的诊断设备,科室团队对各种肝脏疾病的诊断具有丰富的经验,在世界肝炎日之际,希望广大病友“了解肝炎,立刻行动”及时了解病情,实现早日康复。
上一篇:新技术一 睡眠监测
下一篇:预防出生缺陷,产前超声检查很关键
