肩颈疼痛还手麻?小心神经根型颈椎病找上你!
最常见的颈椎病,拖久了也会酿成大祸!四年前,陈大爷并没有在意频频出现的肩颈疼痛伴随左手麻痹。直到几天前,越来越痛的手臂和肩颈让他夜不能寐、痛苦不堪,医生告诉他这是患上了神经根型颈椎病。脊柱关节外科潘磊主任医师为他进行微创手术后,第二天陈大爷就神采奕奕地下床活动了,“我太满意了!应该早点来看医生的呀!”

8月28日,陈大爷来到三水区人民医院脊柱关节外科寻求帮助,他称自己已经二十多天没有睡好觉了,颈肩、手臂的疼痛还有左手拇指和食指的麻痹让他每晚只能睡两三个小时,去做了按摩、理疗,吃止痛药也没什么起色。医生一听颈肩部疼痛合并上肢放射麻痛——典型的神经根型颈椎病,马上安排陈大爷做磁共振查看具体情况。

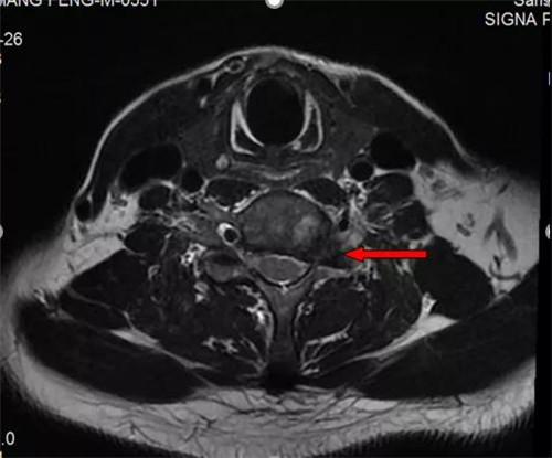
磁共振显示C6-7椎间盘左外侧突出,压迫颈神经根
“C6-7椎间盘左外侧突出,压迫了颈部神经根,必须切除突出部分。不过不用担心,可以做微创手术,从脖子后面开一个很小的创口,利用颈椎椎间孔镜将髓核摘除,再进行神经根粘连松解即可。”脊柱关节外科主任潘磊博士拿着脊椎的模型向陈大爷解释道。
为了降低患者对手术的恐惧心理,管床医生焦伟东医师耐心地讲解关于手术的益处,“颈椎椎间孔镜(key-hole)手术非常适合像您这样单侧神经根症状的外侧型颈椎间盘突出患者,跟其他类型的手术相比有很多优点:切口小、出血少,恢复快、住院时间短,活动度不受影响,最重要的是效果好费用又低。”


技术示意图(左)和术后复查三维CT
由于入院后的检查显示血糖指数过高,经过几天的休养陈大爷将血糖调到了正常值。9月7号,潘磊主任医师主刀、王诗成副主任医师、焦伟东医师协助为他实施了微创手术,一个小时后,成功将压迫神经的部分取出,手术顺利完成。“刚做完手术就感觉手已经不麻了!”,第二天下午,陈大爷已经可以下地走动。

术后颈部切口仅有7mm-1cm
“有问题一定要及时来找专业人士啊,而且这次治疗还意外发现有高血糖,也给自己提个醒。”陈大爷苦笑道。


陈大爷(左)与张阿姨均为手术第二天可下地行走
74岁的张阿姨也来到了脊柱关节外科治疗腰部疼痛及腿痛、腿麻,因年纪大了身体各机能退化导致腰椎椎管狭窄压迫到神经,五年前左腿就开始出现疼痛,伴有左腿麻木感,一直到最近已经走不了几步路就要停下来休息才来到我院就诊,经过检查后确诊为腰椎管狭窄症,压迫腰部神经,潘磊主任及薛厚军副主任医师为张阿姨采取了腰椎椎间孔镜手术治疗,术后效果良好。张阿姨做完手术后感叹:“这次来做了这个微创手术,第二天就可以下地走动了,腿也不疼了!”

张阿姨手术切口
脊柱关节外科潘磊主任医师提醒
一旦出现颈肩部疼痛,一侧上肢放射性疼痛,伴有麻木感,要小心是否为神经根型颈椎病。如果出现腰背部疼痛,下肢疼痛麻木,行走活动后下肢疼痛及麻木加重,间歇性跛行(走不了远路)等症状,可能是腰椎管狭窄症在作怪。出现以上症状一定要及时就医,目前椎间孔镜微创技术可以很好的解决这些问题。
早发现,早治疗,通常病情较轻时可采用保守治疗,疗效好,恢复快,花费少。但是拖得越久病情严重时就需要采用专科医生进行外科干预,而且神经功能有可能已经被损坏,严重者甚至无法恢复。
颈椎病健康科普小知识
王诗成副主任医师介绍
颈椎病:
因颈椎间盘退变及其继发性改变,刺激或压迫相邻脊髓、神经、血管和食管等组织,并引起症状或体征。
分类:
1、神经根型(最多见)颈肩痛,向上肢放射麻痛;
2、脊髓型四肢乏力、行走、持物不稳,病理反射阳性;
3、椎动脉型眩晕、猝倒(主要症状);
4、交感神经型,头痛、头昏、心率变快或变慢等交感神经兴奋或抑制表现。
其中脊髓型禁止推拿按摩,牵引。所以得了颈椎病首先要检查清楚,否则治疗方法不对会引起严重后果。
相关治疗方式
1.药物治疗
可选择性应用止痛剂、镇静剂、维生素(如B1、B12),对症状的缓解有一定的效果。
2.运动疗法
各型颈椎病症状基本缓解或呈慢性状态时,可开始医疗体操以促进症状的进一步消除及巩固疗效。症状急性发作期宜局部休息,不宜增加运动刺激。有较明显或进行性脊髓受压症状时禁忌运动,特别是颈椎后仰运动应禁忌。椎动脉型颈椎病时颈部旋转运动宜轻柔缓慢,幅度要适当控制。

3.牵引治疗、手法按摩推拿疗法
是颈椎病较为有效的治疗措施。它的治疗作用是能缓解颈肩肌群的紧张及痉挛,恢复颈椎活动,松解神经根及软组织粘连来缓解症状,脊髓型颈椎病一般禁止重力按摩和复位,否则极易加重症状,甚至可导致截瘫,即使早期症状不明显,一般也推荐手术治疗。
4.理疗
在颈椎病的治疗中,理疗可起到多种作用。一般认为,急性期可行离子透入、超声波,紫外线或间动电流等;疼痛减轻后用超声波、碘离子透入,感应电或其他热疗。
5.手术治疗
严重有神经根或脊髓压迫者,必要时可手术治疗。
